
1月内住院3次?罕见病的诊断难题你能破解吗?

医脉通-临床病例平台
病例资料
61岁男性患者,1月内因“反复发热
伴右上腹痛”住院3次。
每次再入院均发生于上次出院后3-4天,再发诱因均为高热伴右上腹轻度疼痛。
3次住院期间的实验室检查结果汇总见表1。值得注意的是,3次血培养
均检出大肠埃希菌。
首次治疗予静脉注射哌拉西林-他唑巴坦(4.5g,每8小时一次)治疗1周。保持体温正常超3天后出院。
2次入院治疗予静脉注射哌拉西林-他唑巴坦(4.5g,每8小时一次)治疗9天,出院时改为口服左氧氟沙星
(0.5g,每日一次)。
表1

鉴于患者反复发热及右上腹疼痛,临床对其肝脏、胆囊、胰腺、脾脏及心脏进行了详细的超声检查。
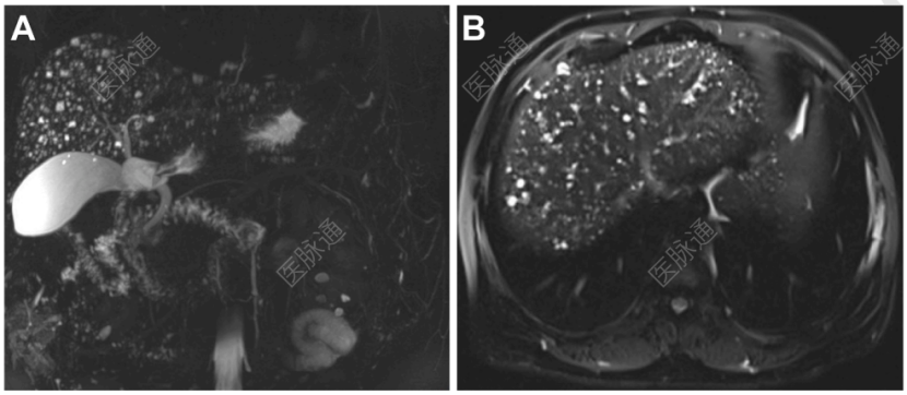
磁共振胰胆管成像(MRCP)及磁共振成像
(MRI)检查,结果可见沿胆管走行的弥漫性、圆形、T2高信号病灶,部分与胆管树相连(图A、B)。

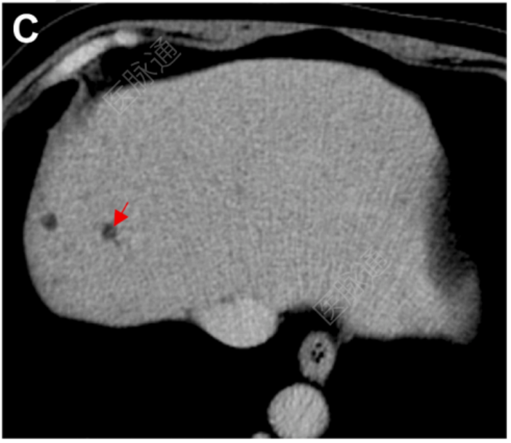
增强腹部计算机断层扫描(CT)显示,静脉期肝内多发低密度病灶,伴中央点状强化(图C)。

随后行肝穿刺活检术。组织病理学检查(H&E染色及CK19免疫组化)显示:汇管区见少量淋巴细胞及浆细胞
浸润,同时存在轻度界面性肝炎及小胆管损伤证据。CK19阳性细胞证实为胆管上皮细胞,并可见成簇分布的囊状扩张胆管。
患者最可能的诊断是什么?
