
警惕!下腹痛伴CA-125骤升≠卵巢癌:梅格斯综合征伴卵巢扭转的诊疗启示
一位 57 岁未生育女性,因下腹痛数小时内进行性加重,至急诊科就诊。
体格检查显示,患者无发热
,脉搏
为68次/分,血压122/73mmHg。
实验室检查结果未见明显异常。
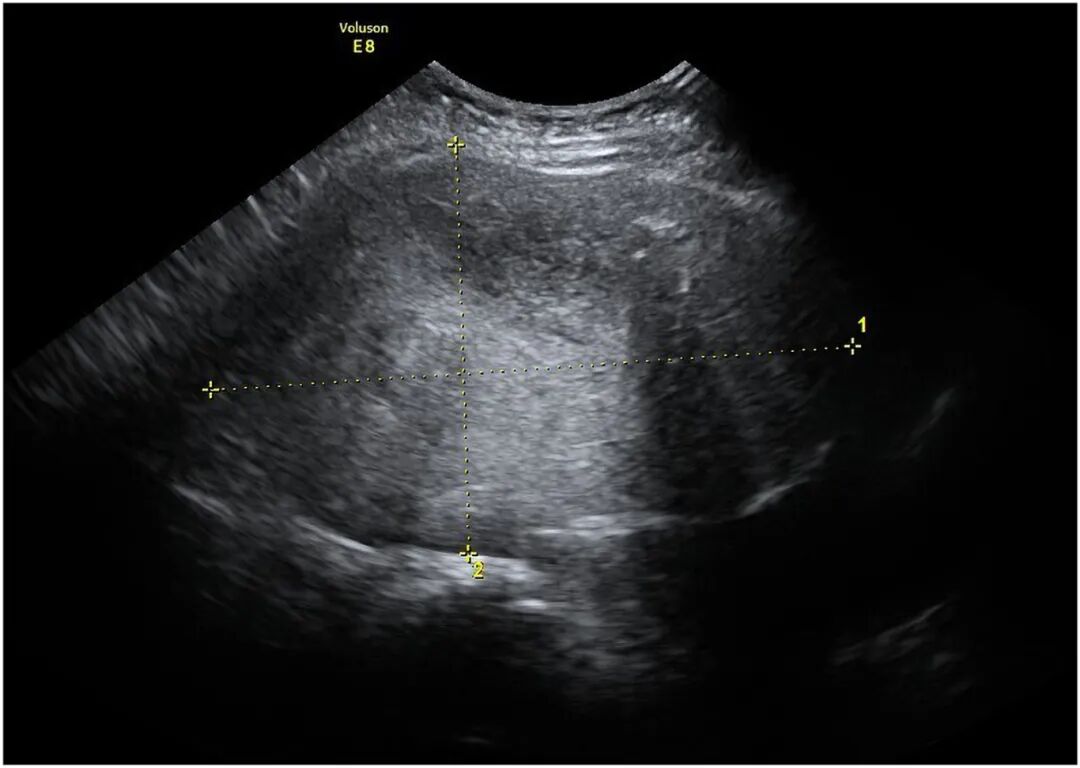
下腹部可触及一压痛性肿块,床旁超声提示一边界清晰的高回声肿块,大小约13cm(图1)。
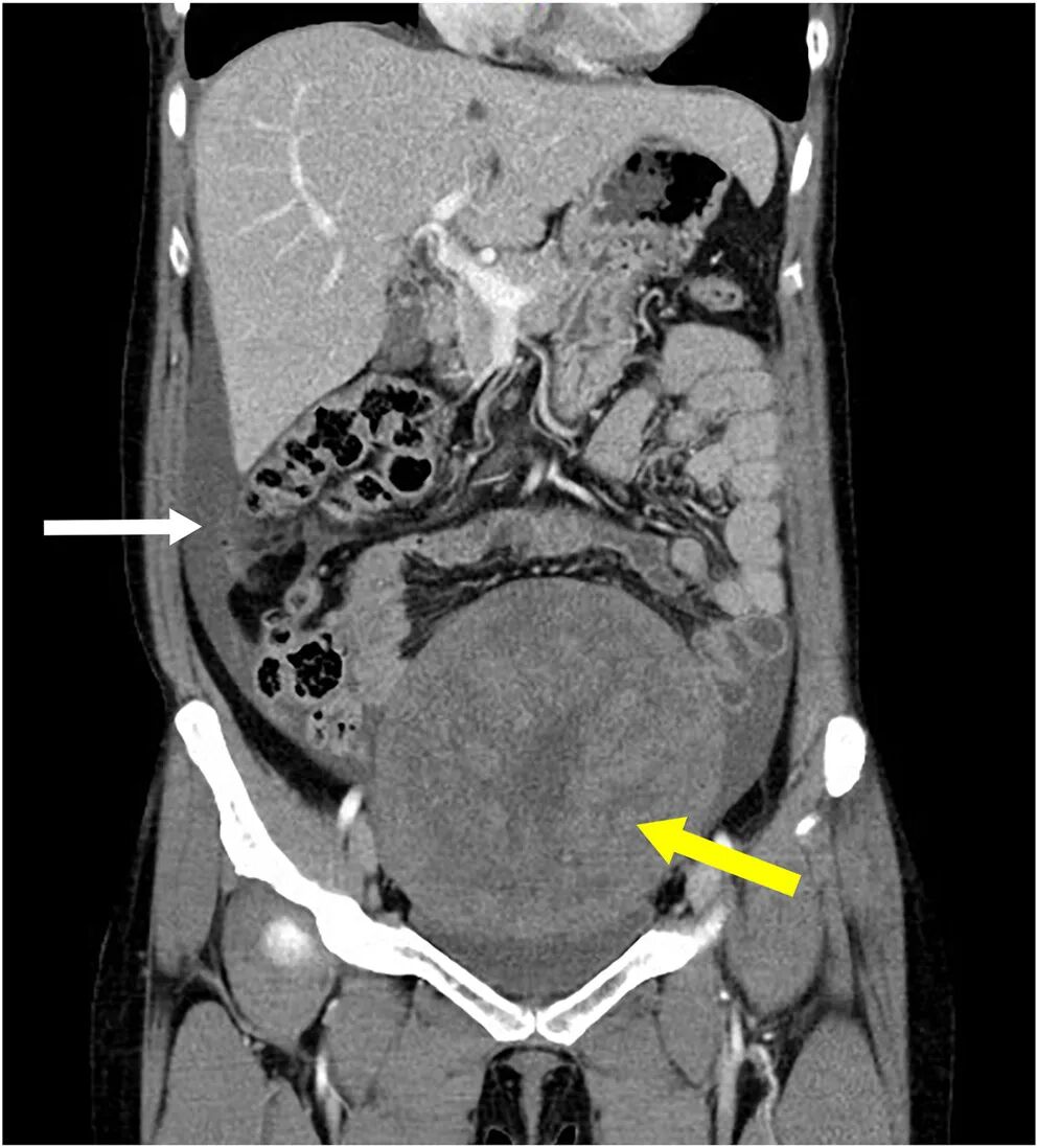
腹部计算机断层扫描(CT)显示盆腔内有一占位性病变,伴中等量腹水
及双侧胸腔积液
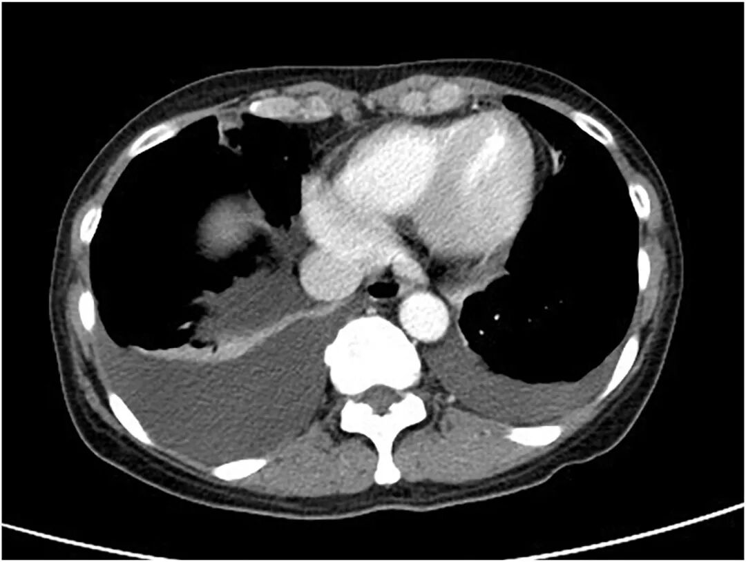
,且右侧较左侧更为明显(图2、图3)。

图1 经腹超声检查示一边界清晰的高回声肿块,大小为13.6 cmx8.6 cm(测量游标所示)。

图2 腹部增强CT(冠状位)示盆腔内一巨大不均质肿瘤(黄色箭头)及腹水(白色箭头)。

图3 CT检查
(横断位)亦可见双侧胸腔积液,右侧更为显著。

图4 剖腹探查
术中见一巨大坏死性左侧卵巢肿瘤伴蒂扭转(箭头所示)。
卵巢卵泡膜细胞瘤伴梅格斯综合征及瘤蒂扭转
患者血清血红蛋白
水平在随后3天内从12.7 g/dL降至6.7 g/dL。CA-125水平为 1014.3 IU/mL(参考值<35.0 IU/mL)。后续行剖腹探查术,术中见左侧卵巢实性肿瘤伴蒂扭转(图4)。冰冻切片病理检查
示卵泡膜细胞瘤伴出血性梗死,组织病理学结果证实卵巢扭转。患者术后恢复顺利,胸腔积液于术后2周完全吸收。
梅格斯综合征是一种罕见病症,多见于绝经
后女性,其典型特征为良性卵巢实性肿瘤、腹水及胸腔积液三联征。该综合征常伴随 CA-125 水平升高,临床表现与晚期卵巢癌
相似,易引起误诊。通过手术切除肿瘤后,患者腹水与胸腔积液均可完全消退。
信源:Ho, Min-Hui et al. Woman with Lower Abdominal Pain. Annals of Emergency Medicine, Volume 86, Issue 3, 284 - 285
